一般

一般検査は、血液以外の臨床検査材料を扱います。尿検査、糞便検査、髄液検査、関節液検査、精液検査等を行ないます。特に、尿検査と糞便検査は、もっとも古典的な検査として古くから存在し、一般的に行われている検査法です。
また、体を傷つけないことはもちろんですが、体にダメージがない非侵襲的な検査でスクリーニングとして有用です。
尿検査
尿検査は、まず試験紙を用いた定性試験を行い、それと並行して尿を遠心機にかけ中に含まれている有形成分を集め(尿沈渣)、顕微鏡で観察を行います。(定性試験だけで終わる場合もあります。)
糞便検査
糞便検査は、潜血反応により消化管の状態をスクリーニングしたり、寄生虫検出のための寄生虫卵検査等を行います。
髄液検査
髄液検査は、色調の変化、細胞数、生化学的検査を行います。
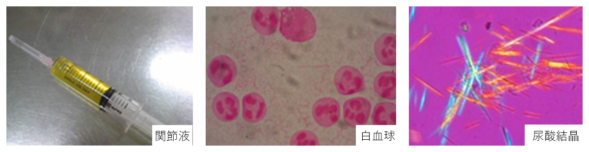
関節液検査
関節液検査は、関節液中の白血球や結晶があるか検査します。
精液検査
精液中の精子の数・運動率・奇形や白血球数などを検査します。
| 班 長 | 竹内 彰浩(香川大学医学部附属病院) |
|---|---|
| 副班長 | 石丸 雄士(キナシ大林病院) |
![]() |
![]() |
![]() |
![]() |
![]() |
![]() |
|---|---|---|---|---|---|
![]() |
![]() |
![]() |
![]() |
![]() |





















